무삭제와 최소삭제로 지키겠습니다.
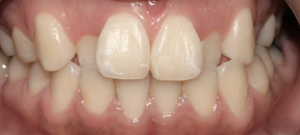
올 세라믹 치료란 두 세라믹으로 되어 있다는 뜻으로 기존 보철물은 치료 후 시간이 지나면
잇몸 색이 변하는 현상이 있는데 올 세라믹은 변하는 현상이 없는 치료방법입니다.
올 세라믹은 투명도가 높고 광택이 있어 자연치아와 구별이 쉽지 않아
심미적으로 중요한 앞니에 많이 시술하게 됩니다.
올 세라믹은 환자분 상태에 따라 다르지만 1~2주 안에 치료가 가능합니다.
앞니가 사고나 충치로
망가져 신경치료가
필요한 사람
덧니 불규칙한 치열,
돌출된 앞니 등
치아배열이나 치아색이
마음에 들지 않는 사람
기존 보철물의 변색으로
심미적으로 자연치아와
거의 흡사한 치아를
원하는 사람

빛을 통과시켜
실제 치아와 거의 유사해
심미적으로 훌륭합니다.

시간이 지나도
색이나 형태의 변화가
없습니다.

1~2주 안에
희고 가지런한 치아를
만들 수 있습니다.
앞니를 자연스럽고 깨끗하게 만들어주는 시술로 치아의 표면을 0.5~0.7mm 정도 삭제한 다음
본인의 치아 형태로 본을 뜬 후 인조 손톱 모양의 세라믹 박편을 치과용 접착제로 접착하는 방식의 치료입니다.
쉽게 말해 치아를 0.5~0.7mm 정도 삭제한 후 인조 손톱 모양의 도자기로 붙이는 과정을 말합니다.
앞니가 겹치거나
치아 사이에 공간이 있는 등
배열이 안 좋은 경우
치아 크기가 크거나
작은 경우
앞니 사이에 생긴
충치 치료 후 미적으로
더욱 개선하고자 할 경우나
치아 변색이 있는 경우

색상과 모양이 거의
자연치아에 가깝습니다.

기존 치아의 삭제량을
최소화합니다.

1~2주 안에 희고 가지런한
치아를 만들어 드립니다.

레진보다 강도가 우수하여
수명이 오래갑니다.
투명교정 장치는 뺐다 끼웠다 할 수 있으며, 투명한 플라스틱 재질로 만들어진 교정 장치입니다.
투명교정기를 꼈을 때 티가 거의 나지 않고, 교정 중 발생하는 불편함이 적기 때문에
많은 분들이 선호하는 장치입니다.
미소드림치과에서는 이러한 투명교정(환자가 원할 시 다른 교정 장치로 변경 가능)과
심미보철(스타일비니어, 올 세라믹, 라미네이트)를 접목하여
심미보철 치료가 정말 필요한 상황인지,
치아 콤플렉스를 해결하는 건강한 방법이 무엇인지
미소드림치과에서 검사와 상담을 받아보세요.
치아가 깨져서, 변색된 보철물 교체, 충치치료 등
치아건강 목적을 위한 치아성형!
미용적 목적만을 위해 치아성형 치료를 결정할 때는
신중한 선택이 중요
치아는 한번 삭제하면, 원래대로 복구할 수 없습니다.
따라서 치아를 삭제한 후 아름답고 자연스러운 치아를 얻을 수 있지만, 삭제한 후부터는 자연치아는 아닌 것입니다.
또 치아성형은 치료 후 사후 관리를 어떻게 하느냐에 따라 수명이 각각 다릅니다. 보통 8~10년 정도 보철물을 사용할 수 있으며, 수명이 다했을 때에는 보철물을 교체해야 합니다.
실제로 가지런한 치아가 사람의 첫인상을 좌우할 정도입니다.