편안한 임플란트
편안한 임플란트
미소드림의 임플란트 환자는
95% 소개 환자입니다.
95% 소개 환자입니다.
20년이란 세월의 치료 사례를 다 보여드릴 순 없으나
그 긴 세월의 노하우를 녹여 진심으로 수술에 임할 것을
약속드릴 수 있습니다.

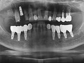
세월이 지나면 사람이 나이가 들듯이 치아도 노화 현상으로 자연스레 빠지게 됩니다.
정기검진 시 치주 관리를 통해 자연치아와 임플란트를 최대한 오래 사용 가능하도록 노력하고 있습니다.
하단의 치료 사례는 10년 이상 된 단골 환자분들로 세월이 지남에 따라 임플란트 수가 늘고 있어 안타까운 마음도 들지만,
임플란트로 본인 치아처럼 새 치아를 얻어 오랜 세월 잘 드실 수 있도록 최선을 다해 임플란트 치료를 하고 있습니다.
윤OO 부작용 없는 임플란트
김OO 불가능하다고 했던 어금니·아랫니 임플란트
정OO 대학병원 대신 선택 후 어금니 임플란트
박OO 10년째 사용 중인 임플란트
|
|
|
|