편안한 임플란트
편안한 임플란트
미소드림의 임플란트 환자는
95% 소개 환자입니다.
95% 소개 환자입니다.
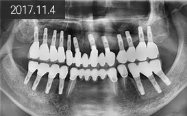
“ 지방에서 소개로 내원,
흔들리는 치아 발치 후
치조골 이식을 동반한 15개 임플란트 식립 후
19개 치아 복원 ”
“ 소개로 내원,
전악 발치 후 임플란트 틀니 사례 ”
임플란트 틀니란 2~6개의 임플란트를 식립 후 이를 지지로 음식을 저작하는 방법입니다.
기존 틀니가 잇몸으로 음식을 눌러 먹었다면 임플란트 틀니는 임플란트를 지지로 음식을 씹어 먹을 수
있음으로 자연치의 70~80% 정도 기능까지도 가능합니다.
일반 틀니가 자연치의 20~30% 기능을 하는데 비하면 놀라운 저작력 입니다.




김OO 이빨 전체 임플란트 22개 후 7년
김OO 윗니 전체 임플란트,
정OO 수술 불가 판정 앞니 임플란트 수술
이OO 수술 경과 17년 차 남성
하OO 수술 경과 16년 차 여성
안OO 수술 경과 17년 차 남성