편안한 임플란트
심미치료
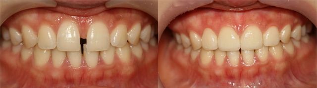
치아건강까지 챙기는 자연스러운 심미치료!
무삭제와 최소삭제로 지키겠습니다.
무삭제와 최소삭제로 지키겠습니다.
그리고 자연치아를 최대한 보존하는 무삭제 & 최소삭제를 지향하는
미소드림치과에서 받아보세요
2015년 MBC 불만 제로라는 사회적 문제를 고발하는 TV 프로가 있었습니다. 당시 미소드림치과에 환자로 위장 잠입한 MBC 측에 사실적 설명과 양심적 치료 권유로 양심 병원으로 채택된 미소드림치과는 명예롭게도 MBC 불만제로에 양심 병원으로 출연하게 됐습니다.
치아건강도 지키는 스타일비니어. 치아를 무삭제 혹은 거의 삭제를 하지 않으며,
마취 역시 하지 않거나 최소한으로 치료합니다.





치아 정돈부터 제작, 결합에 이르기까지 전 과정에서
한 치의 오차 없이 제작되는 미니쉬 솔루션을 확인해 보세요.


|
|
|
|